

*Video ceduto dalla Dott.ssa Paola Tarantino
Le macchie della pelle - o discromie - sono lesioni benigne, quindi non tumorali né pericolose, presenti in particolare sul viso (fronte, naso, guance) e sulle mani. Ciò non toglie, però, che possano formarsi anche in altre parti del corpo, soprattutto in quelle più esposte al sole come spalle, gambe o braccia.
Esposizione solare, trucchi, cosmetici e poca attenzione verso la salute della pelle possono incidere sulla comparsa di queste antiestetiche macchioline che spesso si cerca di coprire con il fondotinta. Ma non sempre nasconderle sotto il make up è sufficiente, e per questo esistono numerosi trattamenti estetici che permettono di eliminare le macchie della pelle una volta per tutte.
Gli specialisti dello StudioMed precisano che la loro comparsa è dovuta ad alcune alterazioni nel funzionamento delle cellule che producono la melanina, in particolare quando con la vecchiaia o l'aumentare dell’età la loro presenza comincia a diminuire. Queste alterazioni provocano una distribuzione non più uniforme della melanina, che fa sì che sulla superficie della pelle si creino macchioline, tendenzialmente e marroni o di colore beige. Quando sono bianche o più chiare della tonalità cutanea predominante si parla di ipopigmentazioni. Spesso sono circolari, ma non sempre esattamente tonde, infatti la forma può essere più o meno regolare, ma difficilmente sono in rilievo.

*Immagine ceduta dal Dott. Massimo Ceva
L’invecchiamento della pelle - come spiegano gli esperti dello StudioMed - non solo dipende dall’età, ma può anche essere accelerato da alcune cattive abitudini e da agenti a noi esterni che stimolano i radicali liberi e indeboliscono il tessuto cutaneo rendendolo più fragile. Tra questi fattori evidenziano in particolare:
Il Prof. Lotti precisa che le macchie della pelle possono essere divise principalmente in due grandi categorie:
Inoltre, le macchie cutanee possono essere suddivise in altri gruppi più piccoli:
Il Dott. Alberto Oddo aggiunge che la differenza tra le lentigo e il melasma è che le prime sono più superficiali e tipiche di persone con una pelle particolarmente sensibile al photoaging o fotoinvecchiamento. Il melasma, al contrario, si trova a un livello più profondo, nel derma medio, e sono dovute principalmente a fattori ormonali o alla sensibilizzazione farmacologica. Infatti, questo tipo di macchie si forma soprattutto nelle donne giovani, nelle donne con un ciclo mestruale irregolare oppure durante la gravidanza.

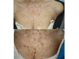
*Immagine ceduta dal Dott. Stefano Malloggi
Uno dei principali fattori che contribuisce alla formazione di macchie sulla pelle è l'invecchiamento cutaneo. Tuttavia, così come le cattive abitudini possono accellerarne il processo, quelle buone possono, al contrario, rallentarlo.
Per rallentare gli effetti del cronoaging i medici dello StudioMed offrono alcuni suggerimenti:

*Immagine ceduta dal Centro Medico Genesy
Quando si ha un dubbio riguardante la salute della propria pelle o quando si desidera la rimozione di un inestetismo cutaneo è sempre opportuno rivolgersi a uno specialista in Dermatologia. Infatti, come prima cosa, bisogna accertare la natura benigna di macchie, nei e neoformazioni.
Il dermatologo, nel corso della prima visita, saprà spiegare dettagliatamente la tipologia di macchia che bisogna prendere in esame, così come saprà consigliare quale trattamento o ciclo di trattamenti sarà più adeguato alle caratteristiche specifiche di ogni tipologia di pelle e di discromia.
Il Prof. Mario Dini indica principalmente 4 metodi per eliminare o schiarire le macchie della pelle:
Peeling. Le sostanze chimiche che compongono il peeling servono per indurre un processo di esfoliazione della pelle. Questo permette che gli strati più superficiali dell’epidermide possano rigenerarsi e produrre nuovo collagene. I peeling possono essere di tre tipi: superficiali, medi e profondi (per maggiori risultati si consiglia una maggiore profondità). Le sostanze utilizzate includono: alfaidrossiacidi; tricloroacetico; acido glicolico; acido salicilico; fenolo.
Dermoabrasione. Questo trattamento basa la sua efficacia sul fatto che elimina lo strato più superficiale della pelle per donare un aspetto più giovane e una pelle più levigata. Può essere adottato dal medico non solo per eliminare le macchie cutanee, ma anche per cicatrici, esiti di acne e rughe superficiali.
Crioterapia. Le macchie cutanee, con questa tecnica, vengono eliminate dall’azione dell’azoto liquido e dell’abbassamento della temperatura in maniera controllata (crio significa infatti freddo).
Laser. La lunghezza d’onda emessa dal laser viene assorbita dal pigmento melanico. Quindi la melanina concentrata viene prima frammentata e poi smaltita attraverso il sistema linfatico. La macchia viene distrutta, ma il tessuto epidermico al di sopra di essa viene preservato e rimane intatto. I principali laser utilizzati sono: Laser Erbium YAG; Laser ND Yag; Laser Q-Switched; Laser Frazionato.

*Immagine ceduta dalla Dott.ssa Caterina Cerretani
I risultati dipendono dal tipo di tecnica utilizzata, dalle condizioni di partenza e dal numero di sedute. In generale, i primi effetti saranno visibili già alcuni giorni dopo il trattamento.
Per ottenere dei buoni risultati è importante eliminare prima di tutto le cause cha hanno scatenato la comparsa delle macchie, sottolinea il Prof. Lotti, quindi per esempio bisognerà applicare la protezione solare ed evitare terapie di tipo ormonale.

*Immagine ceduta dal Dott. Naser Jabbarpour
Dopo il trattamento potrebbero apparire rossori o bruciori che scompaiono nel giro di pochi giorni, inoltre è possibile che si formi una leggera esfoliazione, avverte il Dott. Cristiano Biagi.
Per evitare l’insorgere di eventuali complicazioni questi trattamenti sono sconsigliati ai pazienti con patologie o problemi cutanei, alle donne in gravidanza o che stanno allattando e ai soggetti fotosensibili.
