
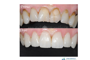
*Immagine ceduta dallo Studio Dentistico Dott. Guiducci Giuseppe
Sono protesi di porcellana che aderiscono saldamente alla parte anteriore di ciascun dente. Attraverso la loro applicazione è possibile migliorare aspetti estetici come il colore, la posizione della protesi o la forma e le dimensioni del dente. Nel caso della forma del dente, è possibile intervenire modificando le dimensione, come ad esempio quando il paziente ha un dente molto piccolo o corto. Possono anche essere utilizzate per coprire denti rotti o denti che hanno perso la loro qualità con l'usura.
Avere dei bei denti può farci sentire più sicuri perché sorridere è il nostro biglietto da visita al mondo e perché in fondo molti di noi desiderano avere denti splendenti come quelli degli attori e delle star di Hollywood.
Le faccette dentali sono una buona opzione per migliorare il colore o la posizione dei denti, migliorando l'aspetto del sorriso in modo rapido, indolore e duraturo.
Esistono tre tipi di faccette dentali più comuni, ognuna con i suoi pro e contro:

L'igiene e la salute orale sono fondamentali per avere un bel sorriso
Un rivestimento dentale è la soluzione ideale per tutte quelle persone che vogliono migliorare l'aspetto estetico dei propri denti. Inoltre, possono essere utilizzate nel caso in cui non si desideri ricorrere all'ortodonzia per migliorare la posizione della denatatura (per esempio i denti storti, il diastema o l'agenesia) oppure per coprire eventuali discromie o irregolarità dello smalto, incluse quelle causate da casi passati di parodontite. Allo stesso modo sono consigliate a tutte quelle persone che, a causa di altri problemi buccofaringei, non possono ricorrere ad altri trattamenti o all'implantologia per migliorare l'estetica del sorriso.
È importante sottolineare che per sottoporsi a questo trattamento è necessario avere una buona salute orale, afferma il Dott. Dario Martusciello.

*Immagine ceduta dallo Studio Dentistico Resta
Si consiglia sempre di scegliere un dentista esperto. È un trattamento che richiede molta precisione e conoscenza della materia, pertanto, si raccomanda la scelta di un dentista con studi estetici dentali.
Sebbene tutti i dentisti abbiano le competenze adatte per l'impianto delle faccette dentali, coloro che hanno seguito corsi nel campo dell'estetica dentale possono ottenere un lavoro di qualità superiore e risultati milgiori e più naturali. Oltre alla scelta del professionista, la clinica dove si eseguirà il trattamento, deve avere strutture adeguate e uno staff in grado di farti sentire a tuo agio, capito e in buone mani. A volte, potrebbe essere necessario visitare diverse cliniche per confrontare le opzioni offerte e valutare le opinioni di vari esperti. Ricorda che non devi basare la tua decisione esclusivamente sul prezzo.

Il tuo dentista ti aiuterà a scegliere il colore di faccette adatto al tuo sorriso.
Inizialmente, il dentista stilerà il tuo quadro clinico ed effettuerà un' approfondita visita dentale. Quando si parla di questo trattamento, bisogna tener conto dell'anatomia della persona, del sorriso, della dentatura e della masticazione. Inoltre, prima di sottoporsi a trattamento, deve essere garantito che il paziente non abbia altri problemi dentali che devono essere risolti prima. Ad esempio, se i denti sono molto disallineati è molto probabile che prima si raccomandino i correttori dentali. Il budget del paziente e il numero di rivestimenti dentali richiesti devono essere discussi in questo momento. "L'estetica dentale non è una disciplina distinta dall'ortodonzia o dall'implantologia, è solo il punto di arrivo e il valore aggiunto di terapie eseguite con scrupolo e razionale scientifico", afferma il Dott. Guiducci.
In alcuni casi, ci sono pazienti che scelgono di eseguire il trattamento su tutta l'arcata superiore, mentre altri richiedono solo l'installazione di quattro rivestimenti per creare un sorriso equilibrato. È necessario scegliere un colore che si armonizzi bene con il resto del volto per raggiungere un effetto naturale. Infine, prima di procedere con l'installazione verranno realizzati i calchi della dentatura originale, radiografie e panoramiche. Una volta realizzati tutti gli step cui sopra, il paziente è pronto per eseguire la procedura.

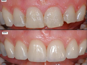
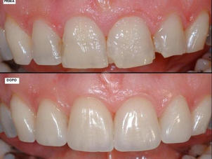
*Immangine ceduta dallo Studio Dentistico Dott. Guiducci Giuseppe
Lo Studio Dentistico Leone Napoli ci spiega che la tecnica per installare le faccette dentali in composito può essere indiretta o diretta, illustriamo le differenze:
Per il posizionamento di faccette in porcellana si procede in questo modo: viene realizzata un'impronta del cavo orale attraverso un calco, viene inviata al laboratorio con le specifiche, come le misure e il colore scelto. Una volta ricevute quelle nuove realizzate in laboratorio, si procede a limare i denti su cui verranno posizionate, grazie all'utilizzo di una colla speciale. Questo processo non richiede l'uso di anestesia locale poiché non è doloroso. Possono essere posizionate una a una o più alla volta.

Una corretta igiene orale aiuta a proteggere le faccette dai danni del tempo.
Dopo l'installazione il paziente può riprendere tranquillamente le attività quotidiane, non è necessario un periodo di riposo. Il dentista consiglia di seguire alcuni accorgimenti in modo da mantenle in buone condizioni:

*Video ceduto dallo Studio Dentistico Dott. Ruggirello Antonino
Il risultato sarà un sorriso uniforme, con un colore adeguato e denti di dimensioni conformi all'ovale del proprio volto. Inoltre, nella maggior parte dei casi, migliorando l'estetica della propria boccca, migliorerà anche l'autostima e la sicurezza del paziente. Dott. Ruggirello Antonino ci spiega che questa metodologia è particolarmente consigliata perchè permette di avere denti bianchi e perfetti senza anestesia, senza danneggiare i denti o le terminazioni nervose.
Il trattamento con faccette dentali è tra i più utilizzati dalle celebrità insieme allo sbiancamento dentale, il motivo del suo successo è certamente da imputare al risultato duraturo e naturaei che è possibile ottenere. La durata media è di 10 anni, i materiali utilizzati per la loro realizzazione non causano allergie o effetti collaterali.

*Immagine ceduta dal Dott. Paolo Orseniga
Trattandosi di una procedura minimamente invasiva, di solito non presenta rischi per il paziente. Gli effetti collaterali possibili sono legati alla poca cura e igiene orale da parte del paziente che non permettono il corretto mantenimento delle faccette. Alcuni degli effetti possibili sono:
Studio Dentistico Dr. med. Dr. med. dent. Michael Schmitz. (n.d.). FACCETTE DENTALI. [online] Available at: https://drschmitz.it/odontoiatria-estetica/faccette-dentali/ [Accessed 25 Feb. 2019].
Odontobi Dental clinic. (n.d.). Faccette dentali: solo dall’odontoiatra o anche in farmacia?. [online] Available at: https://www.odontobi.it/blog/faccette-dentali-solo-dallodontoiatra-o-anche-in-farmacia [Accessed 25 Feb. 2019].