quanto costa in media l'impianto di perno + capsula?

L'implantologia dentale consiste nel ricostruire il patrimonio dei denti perduti senza più dover ricorrere a fastidiose protesi mobili. Si tratta dell'inserimento nell'osso mandibolare di pilastri che supportano un dente artificiale che ha tutte le normali funzioni. Le seguenti cliniche realizzano impianti dentali.

*Video ceduto dal Dott. Daniele Rizzo
Gli impianti dentali o ancoraggi dentali sono come delle radici artificiali in metallo, simili a viti e vengono inseriti chirurgicamente nell'osso mascellare, quindi sotto la gengiva. Costituiscono una solida base per il fissaggio di uno o più denti artificiali, chiamati corone.
Uomini e donne attribuiscono ogni giorno sempre più importanza alla salute e all'estetica dentale, e questo fa sì che i professionisti del settore dell’Odontoiatria e dell'Implantologia si sentano più motivati nel trovare soluzioni innovative per offrire ai pazienti tecniche sempre migliori per sfoggiare un sorriso sano e bello.
Gli impianti dentali sono stati inventati proprio con lo scopo di migliorare l'estetica ma, allo stesso tempo, anche la salute dei pazienti che per diverse ragioni non hanno più i loro denti. Questi impianti, non solo migliorano i gesti semplici della vita quotidiana - come per esempio la masticazione - ma servono per sentirsi maggiormente a proprio agio anche nelle relazioni sociali.
Di fatti gli impianti sono considerati il modo più affidabile per sostituire i denti mancanti, tanto che l'American Academy of Implant (AAID) indica che il tasso di successo degli impianti dentali può arrivare anche al 98%. Una volta posizionati gli impianti e le corone, il paziente sarà in grado di masticare il cibo come se avesse nuovamente un dente normale. Inoltre, attualmente se gli impianti vengono resi esteticamente e funzionalmente simili ai denti naturali del paziente, è quasi impossibile notare la presenza di un impianto e una corona o percepire differenze con gli altri denti naturali.


Questa richiesta è figlia di questi nostri tempi malsani e del “silenzio” assordante di chi dovrebbe intervenire a salvaguardia della Salute di Voi Pazienti , che disorienta Voi pazienti attirati dai falsamente (perché non si tratta di terapie...


*Immagine ceduta dallo Studio Dentistico Resta
L'AAID afferma che l’Implantologia è una procedura adatta alla maggior parte delle persone, sia nel caso in cui si avesse perso un dente o anche nel caso di avere un dente parzialmente danneggiato a causa di un trauma.
Anche i giovani e gli adolescenti possono optare per questo trattamento dentale, purché abbiano raggiunto lo stadio di completamento della crescita e dello sviluppo del viso, che avviene generalmente intorno ai 16 anni per le donne e ai 18 per gli uomini.
Bisogna, però, sottolineare, che gli impianti possono essere posizionati solo sotto gengive sane e in pazienti con sufficiente tessuto osseo, come precisano gli specialisti dello studio Odontomedica.
Sebbene gli impianti dentali siano adatti per quasi tutti i pazienti, è importante notare che nessun impianto sarà mai perfetto come i denti naturali. Questo è il motivo per cui i dentisti insistono tanto sull'importanza della salute e dell'igiene orale di cui ci si dovrebbe prendere cura già a partire dal primo anno di età.

Il vostro dentista deciderà se avete bisogno di un impianto dentale o meno. Tuttavia,alcune delle possibili ragioni che potrebbero spingere all'inserimento di un impianto potrebbero essere:
Per gli impianti dentali, è possibile rivolgersi a due tipi di professionisti: un dentista oppure un medico specializzato in Chirurgia Maxillo-facciale.
In ogni caso, bisogna sempre controllare il titolo di specializzazione del professionista a cui vi rivolgete e che abbia una vasta esperienza in interventi di Implantologia. Inoltre, è fondamentale rivolgersi a un chirurgo autorizzato e riconosciuto: vi invitiamo a fare la vostra ricerca sul sito web della Federazione Nazionale degli Ordini dei Medici e Chirurghi e degli Odontoiatri. Sentiti libero di consultare i forum per leggere i commenti e le opinioni sui professionisti che ti interessano. Potrebbe essere interessante vedere anche le immagini dei pazienti prima e dopo l’intervento, per scoprire di più sulla qualità del lavoro svolto dal tuo medico.
Infine, è importante aggiungere che in nessuna circostanza il prezzo deve essere un fattore decisivo sulla scelta del chirurgo. Attenzione agli sconti e ai prezzi allettanti che sono notevolmente inferiori rispetto alla concorrenza. È meglio affidarsi a un professionista esperto per ottenere buoni risultati invece che mettere a rischio la propria salute.

Nel corso della prima consulenza specialistica, il medico avrà bisogna di conoscere tutti i dettagli sulla tua salute dentale e generale, anche per poter escludere possibili controindicazioni. Dopodiché procederà con l’esame dei denti e delle gengive. Valuterà la tua igiene orale, l’occlusione e l'aspetto della mandibola, e quindi realizzerà un esame approfondito della bocca valutando i cambiamenti morfologici, le creste alveolari, le creste ossee e i tessuti duri e molli della tua bocca. Se necessario prescriverà esami specifici, come per esempio, una radiografia o uno studio tridimensionale. Infine, potrebbe essere richiesta la firma del consenso informato.
Dopo questo esame, lo specialista, vi spiegherà nel dettaglio la procedura da seguire per poter ottenere un buon risultato e vi indicherà: la tecnica che verrà utilizzata (stand alone, osteointegrata o senza osso, protesicamente guidata etc), il tempo di trattamento complessivo, il tempo di risposta, le precauzioni da adottare prima e dopo il trattamento e chiarirà qualsiasi vostro dubbio in merito alla modalità dell’intervento. Inoltre, potrebbe ricorrere a una programmazione guidata computerizzata in modo da pianificare il vostro caso con l’assistenza di un software apposito. Infine, elaborerà una stima completa e dettagliata del costo totale del trattamento.

*Video ceduto dal Dott. Fabio Vaja
Esistono 4 gruppi principali di impianti dentali, come riportato anche dall’AAID:
Gli impianti dentali vengono inseriti in anestesia locale, ma non esitate a chiedere se è possibile eseguire una sedazione se avete paura di non sentirvi a vostro agio durante la procedura.
Poiché la chirurgia implantare è una procedura graduale, è necessario soddisfare tutti i requisiti di salute di partenza che illustrerà il vostro specialista (denti e gengive sane e sufficiente base ossea, per esempio). Qui vi semplifichiamo i principali passaggi di questa procedura, sebbene possa variare da paziente a paziente:
A volte è possibile eseguire un ponte, vale a dire che si posizioneranno 2 impianti dentali per 3 denti oppure in alcuni casi potrebbe essere necessario un innesto osseo, che allungherà il processo di impianto.

Durante il periodo postoperatorio, dovresti seguire scrupolosamente i consigli del tuo dentista per evitare complicazioni. In linea generale, gli esperti raccomandano le seguenti cure dopo l'operazione:

Come tutti gli interventi chirurgici, anche l’Implantologia può comportare dei rischi per il paziente. Tuttavia, con il supporto di un buon professionista, anche gli effetti collaterali e le complicazioni potranno essere trattate e risolte:

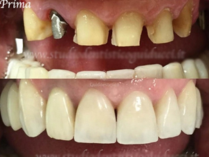
*Immagine ceduta dal Dott. Giuseppe Guiducci
I risultati sono generalmente molto soddisfacenti, ma è sempre consigliabile rivolgersi a un chirurgo esperto e specializzato per ottenere buoni risultati:
Trattamenti più popolari
Mastoplastica additiva
Blefaroplastica
Liposuzione
Filler labbra
Acido ialuronico
Seguici e lasciati ispirare ogni giorno